Harriet Banner

Treatments & Services

I offer a range of professional dental hygiene and therapy treatments to help you achieve and maintain a healthy, confident smile.

🪥 Hygiene Treatments

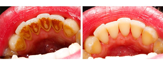
Dental hygiene cleaning

Professional cleaning (scale and polish) removes plaque, tartar, and surface stains that regular brushing can’t reach. Regular hygiene visits help prevent gum disease, cavities, and keep your breath fresh.

🦷 Fillings & Restorations

Dental filling procedure

Dental therapists can carry out fillings to treat tooth decay and restore your teeth’s function and appearance. We use safe, tooth-colored materials to blend naturally with your smile.

✨ Cosmetic Treatments

Cosmetic dental treatment

Treatments like advanced stain removal help brighten your smile by eliminating coffee, tea, and tobacco stains. These are safe, painless procedures that enhance your confidence.

🪥 Preventative Care

Preventative dental care

Early intervention is key! Preventative care includes advice on brushing techniques, diet, and lifestyle habits, plus treatments like fissure sealants to protect children’s teeth.

*Images and videos are for illustrative purposes only and do not depict actual patients or results.*